Angiomiolipoma Renale: Pericoloso o Benigno? Quando toglierlo?
- L’Angiomiolipoma Renale è Pericoloso o Benigno?
- La Natura Benigna dell’Angiomiolipoma
- Quando l’Angiomiolipoma Renale Diventa Pericoloso
- Fattori di Rischio che è Importante Conoscere
- Diagnosi dell’Angiomiolipoma: Come Capirne la Pericolosità
- Metodi di Visualizzazione
- L’Importanza della Componente Grassa nell’Angiomiolipoma Renale
- Segnali di Urgenza per il Trattamento dell’Angiomiolipoma
- Angiomiolipoma Renale Attivato: Cosa Significa
- Osservazione o Intervento Attivo
- Metodi di Trattamento per l’Angiomiolipoma Renale
- Fattori che Determinano la Tempistica della Rimozione dell’Angiomiolipoma
- FAQ Relative all’Angiomiolipoma
- L’Angiomiolipoma Influisce sulla Gravidanza?
- È Possibile Praticare Sport con l’Angiomiolipoma?
- In che modo l'alimentazione influisce sui tumori?
- L’Angiomiolipoma è Ereditario?
L’angiomiolipoma renale è un tumore benigno composto da cellule vascolari, muscolari e adipose. Colpisce più spesso i reni e si riscontra nello 0,3-3% delle persone, specialmente donne sopra i 40 anni o con sclerosi tuberosa. Ma è davvero pericoloso? Pur essendo un tumore benigno, l’angiomiolipoma renale può causare gravi complicazioni come emorragie o dolore. E quando va rimosso? In questo articolo analizziamo i rischi di questa condizione, come riconoscerli e in quali casi è necessario intervenire. Scopri tutto per proteggere la tua salute!
L’Angiomiolipoma Renale è Pericoloso o Benigno?
Questa condizione pone una domanda chiave: è un tumore innocuo o può diventare rischioso? Per rispondere, analizziamo la sua natura e i potenziali pericoli che comporta. Scopriamo insieme cosa rende questa lesione un caso particolare.
La Natura Benigna dell’Angiomiolipoma
L'angiomiolipoma è un tumore benigno che non può diffondersi in tutto il corpo come il cancro. La sua composizione unica è data dalla presenza di vasi sanguigni, cellule muscolari immature e grasso, il che lo distingue dai tumori maligni come il carcinoma a cellule renali. Ciò significa che nella maggior parte dei casi non è direttamente pericolosa per la vita, soprattutto se individuata in una fase precoce. È importante saperlo: la sua benignità è confermata dagli esami, e non solo dalle dimensioni, il che fa sperare in un esito favorevole durante il monitoraggio.
In pratica, ciò significa che i tumori di piccole dimensioni (fino a 4 cm) raramente richiedono misure urgenti. Ad esempio, in assenza di sintomi, i medici spesso raccomandano controlli regolari anziché ricorrere all'intervento chirurgico. I pazienti possono convivere con questa condizione per anni senza avvertire alcun cambiamento, il che riduce lo stress della diagnosi. Tuttavia, la benignità non elimina la necessità dell'osservazione: anche un tumore innocuo può crescere, e allora inizia un'altra storia.
Quando l’Angiomiolipoma Renale Diventa Pericoloso
Il rischio di angiomiolipoma renale aumenta se il suo diametro supera i 4 centimetri. In questi casi, può comprimere i vasi o rompersi, provocando un'emorragia nello spazio retroperitoneale, una condizione che richiede assistenza immediata. Sintomi come un forte dolore al fianco, sangue nelle urine o picchi di pressione sono il segnale di un problema. Le statistiche dimostrano che il rischio di rottura è più elevato per i tumori più grandi di 7 cm, ma anche 4-5 cm possono già rappresentare un segnale allarmante.
Cosa fare se ciò accadesse? La prima cosa da fare è non farsi prendere dal panico, ma recarsi subito in ospedale: l'emorragia si cura con l'embolizzazione o con un intervento chirurgico. È interessante notare che le persone affette da sclerosi tuberosa hanno maggiori probabilità di manifestare tali complicazioni a causa di lesioni multiple. Per prevenire il tumore, i medici consigliano di evitare traumi addominali e di monitorare la pressione sanguigna: questo riduce la probabilità di rottura dei vasi sanguigni all'interno del tumore.
Fattori di Rischio che è Importante Conoscere
I fattori di rischio includono sesso ed età: le donne sopra i 40 anni hanno maggiori probabilità di essere colpite dalla forma sporadica, mentre nei giovani affetti da sclerosi tuberosa il tumore compare entro i 10-15 anni. Anche la genetica gioca un ruolo: le mutazioni nei geni TSC1 e TSC2, soprattutto nella sclerosi, provocano la crescita di formazioni multiple, il che complica la prognosi. Se è interessato un solo rene, il rischio è minore, ma nei casi bilaterali può verificarsi un'insufficienza renale.
In pratica, ciò significa che le persone con una storia familiare di sclerosi tuberosa dovrebbero sottoporsi annualmente a un'ecografia renale fin dall'infanzia. Per altri è bene sapere che il sovrappeso e i cambiamenti ormonali (ad esempio durante la gravidanza) a volte accelerano la crescita del tumore, anche se ci sono poche prove di un collegamento diretto. Tenendo sotto controllo questi fattori potrai evitare complicazioni e reagire in tempo.
Diagnosi dell’Angiomiolipoma: Come Capirne la Pericolosità
Per capire se l'angiomiolipoma renale rappresenta una minaccia per la salute, è necessaria una diagnosi accurata. Questo processo determina se il tumore è sicuro o se richiede un intervento immediato. Vediamo come i medici ne individuano le caratteristiche e cosa questo comporta per il paziente.
Metodi di Visualizzazione
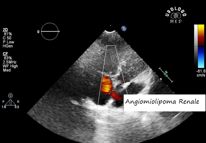
Per diagnosticare l'angiomiolipoma renale si utilizzano l'ecografia (US), la tomografia computerizzata (TC) e la risonanza magnetica per immagini (RMI). L'ecografia è il primo passo: è poco costosa, innocua e rivela il tessuto adiposo di un tumore in 15-20 minuti, ma può tralasciare piccoli dettagli. La TC è il gold standard, poiché mostra dimensioni, struttura e vasi con precisione millimetrica, anche se le radiazioni la rendono meno adatta per un uso frequente. La risonanza magnetica è ideale per i casi complessi: senza radiazioni, mostra i tessuti molli in dettaglio, ma richiede 30-40 minuti di immobilità, il che non è adatto a tutti.
Come scegliere un metodo? Se un'ecografia ha rilevato un angiomiolipoma fino a 4 cm senza sintomi, è sufficiente ripeterla una volta all'anno. Se si sospetta un'emorragia o una crescita, la TC fornirà una risposta rapida, mentre la RM sarà utile in caso di allergia al mezzo di contrasto della TC. È utile che i pazienti verifichino in anticipo con il proprio medico quale sia il metodo più adatto al loro caso, per evitare costi e stress inutili: questo è il primo passo per decidere quando rimuovere il tumore.
L’Importanza della Componente Grassa nell’Angiomiolipoma Renale
La caratteristica principale dell'angiomiolipoma renale è la presenza di grasso, che lo distingue dai tumori maligni come l'adenocarcinoma. Nell'ecografia, il grasso appare come punti luminosi, nella TC come aree di bassa densità (da -20 a -80 unità Hounsfield) e nella RM come segnali soppressi da modalità speciali. Se c'è molto grasso, la diagnosi è chiara e questo è rassicurante: il cancro non ha questo aspetto. Ma nel 5-10% dei casi lo strato di grasso è sottile, il che rende il tumore potenzialmente pericoloso e richiede ulteriori esami.
Ciò è di importanza pratica: la componente grassa sottile potrebbe richiedere un test genetico per la sclerosi tuberosa, soprattutto nei pazienti giovani. Se la diagnosi è dubbia, i medici raccomandano un controllo dopo 3-6 mesi, anziché un intervento chirurgico immediato. I pazienti dovrebbero chiedere in che modo il grasso influisce sulla loro prognosi e non aver paura di chiedere se vengono suggerite procedure non necessarie: questo li aiuta a capire quanto sia pericolosa la situazione e quando è necessario intervenire.
Segnali di Urgenza per il Trattamento dell’Angiomiolipoma
La pericolosità dell'angiomiolipoma si manifesta attraverso sintomi che richiedono attenzione immediata. Un dolore acuto e improvviso al fianco o nella parte bassa della schiena, sangue nelle urine (ematuria), nausea o un calo della pressione sanguigna sono segni di una rottura o di un'emorragia. Le statistiche mostrano che per tumori più grandi di 7 cm il rischio di rottura raggiunge il 50%, ma anche 4-5 cm possono causare complicazioni nel 20% dei casi. Queste condizioni sono pericolose per la vita se non vengono curate entro poche ore.
Cosa fare? Chiamare immediatamente un'ambulanza o recarsi al pronto soccorso: verrà eseguita una TAC e, se necessario, un'embolizzazione d'urgenza per fermare l'emorragia. Per motivi di prevenzione, si consiglia alle persone affette da angiomiolipoma di evitare sport di contatto e carichi pesanti e, se avvertono un leggero dolore, di non esitare a consultare un urologo. Una risposta tempestiva consente di decidere quando rimuovere il tumore e di salvare il rene e la salute.
Angiomiolipoma Renale Attivato: Cosa Significa
La domanda è: "quando rimuovere l'angiomiolipoma renale?" preoccupa tutti coloro che hanno ricevuto questa diagnosi. La risposta dipende dalle dimensioni, dai sintomi e dai rischi. Vediamo quando è possibile osservare e quando è necessario agire.
Osservazione o Intervento Attivo
L'angiomiolipoma renale fino a 4 cm solitamente non è pericoloso e non richiede la rimozione immediata. I medici raccomandano controlli regolari: ecografie ogni 6-12 mesi per monitorare la crescita. Questa soluzione è indicata se non si manifestano dolore, sanguinamento o altri disturbi: le statistiche dimostrano che nell'80% di questi pazienti il tumore rimane stabile per anni. La cosa principale è non saltare i controlli, perché la crescita può iniziare in modo inaspettato, soprattutto in caso di cambiamenti ormonali, ad esempio durante la gravidanza.
Tuttavia, se il tumore è più grande di 4 cm o provoca sintomi, l'approccio passivo diventa rischioso. Ad esempio, con una dimensione di 5-7 cm, la probabilità di rottura aumenta al 30%, e oltre i 7 cm - fino al 50%. Qui si discute già di intervento attivo: sia per prevenire le complicazioni, sia dopo che si sono manifestate. È utile che i pazienti tengano un diario dei sintomi (dolore, pressione) e segnalino al medico eventuali piccoli cambiamenti, in modo da stabilire con precisione quando rimuovere il dispositivo.
Metodi di Trattamento per l’Angiomiolipoma Renale
Quando l'angiomiolipoma renale diventa pericoloso, i medici offrono diverse opzioni terapeutiche. L'embolizzazione è un metodo minimamente invasivo: le particelle che bloccano il flusso sanguigno vengono introdotte nei vasi tumorali attraverso un catetere, riducendo il rischio di sanguinamento. La procedura dura 1-2 ore, la convalescenza è di circa una settimana e salva il rene nel 90% dei casi. La nefrectomia parziale è un intervento chirurgico che rimuove il tumore insieme a parte del rene, adatto in caso di tumori di grandi dimensioni o di embolizzazione non riuscita, ma richiede 4-6 settimane di convalescenza.
Esiste anche un approccio moderno: gli inibitori di mTOR (ad esempio l'everolimus) vengono utilizzati nella sclerosi tuberosa, quando i tumori sono numerosi. Questi farmaci riducono il loro volume del 30-50% all'anno, ma sono costosi (a partire da 500 mila rubli all'anno) e non sono disponibili ovunque. I pazienti dovrebbero discutere i pro e i contro con il proprio medico: l'embolizzazione è più rapida, la nefrectomia è più affidabile e i farmaci sono riservati a casi speciali. La scelta dipende dalla salute dei reni e dalle capacità finanziarie.
Fattori che Determinano la Tempistica della Rimozione dell’Angiomiolipoma
La decisione su quando rimuovere un angiomiolipoma dipende dalle sue caratteristiche e dalle condizioni del paziente. Il criterio principale è la dimensione: i tumori più grandi di 4 cm vengono operati più spesso, soprattutto se crescono più velocemente di 0,5 cm all'anno. Sintomi (dolore, ematuria) o sanguinamento richiedono urgenza: non c'è tempo da perdere, l'intervento può essere programmato entro 24 ore. Anche l'età è importante: nei giovani si cerca di salvare il rene, mentre nelle persone anziane con patologie concomitanti viene più spesso proposta loro l'osservazione.
Altri fattori includono la posizione del tumore e il suo tipo. Se si trova in prossimità di vasi di grandi dimensioni, il rischio di rottura è più elevato e i medici tendono a favorire un intervento precoce. Nella sclerosi tuberosa, le lesioni multiple complicano la scelta: vengono asportate solo quelle più pericolose. È utile che i pazienti chiedano in anticipo all'urologo in che modo il loro stile di vita (lavoro, sport) influisce sulla decisione e chiedano un piano d'azione in caso di peggioramento: questo consente loro di avere il controllo della situazione.
FAQ Relative all’Angiomiolipoma
I pazienti affetti da angiomiolipoma cercano spesso risposte a domande che esulano dall'ambito delle descrizioni standard. Qui abbiamo raccolto i dubbi reali dei pazienti e fornito soluzioni pratiche.
L’Angiomiolipoma Influisce sulla Gravidanza?
L'angiomiolipoma renale può rappresentare un problema per le donne che stanno pianificando di avere un figlio, poiché gli ormoni della gravidanza (estrogeni) a volte ne accelerano la crescita del 10-20% nell'arco di 9 mesi, soprattutto se è già visibile all'ecografia. Ciò non significa che la gravidanza sia impossibile: con un tumore fino a 3 cm il rischio è minimo, ma i medici consigliano di consultare un urologo prima del concepimento e di effettuare controlli ogni 3 mesi. Se la crescita accelera o si verificano fastidi, potrebbe essere necessario un taglio cesareo tra la 36a e la 37a settimana per alleviare la pressione sui reni. È opportuno parlarne in anticipo con il ginecologo.
È Possibile Praticare Sport con l’Angiomiolipoma?
I pazienti chiedono spesso se l'attività sportiva sia sicura e la risposta dipende dall'attività: camminare leggermente o fare yoga sono accettabili e perfino benefici per la circolazione, ma la corsa di lunga distanza o il sollevamento pesi (oltre i 10 kg) aumentano di 4 volte il rischio di rottura dei vasi tumorali a causa delle vibrazioni e dello stress. Un'alternativa è il nuoto: sostiene delicatamente il corpo e riduce del 30% il carico sui reni. Prima di iniziare l'allenamento, sottoponiti a un test da sforzo dal tuo medico per escludere eventuali problemi nascosti.
In che modo l'alimentazione influisce sui tumori?
Molte persone si chiedono se la dieta possa rallentare la crescita dell'angiomiolipoma renale, ma non esiste una correlazione diretta: né il sale né i grassi presenti negli alimenti ne influenzano lo sviluppo, a differenza dei calcoli renali. Tuttavia, un eccesso di proteine (ad esempio più di 100 g al giorno provenienti dalla carne) sovraccarica i reni del 20%, il che ne peggiora la funzionalità in caso di tumore di grandi dimensioni. È meglio assumere 60-80 g di proteine, aggiungendo verdure (cavoli, broccoli) per supportare il metabolismo. Bevi 1,5-2 litri di acqua al giorno per evitare la disidratazione, ma evita le bevande gassate: sono inutili.
| Prodotto | Effetto sui reni | Raccomandazione |
|---|---|---|
| Proteine (carne) | Sovraccarico in eccesso | 60-80 g/giorno |
| Verdure (broccoli) | Supporto al metabolismo | 200-300 g/giorno |
| Acqua | Miglioramento della filtrazione | 1,5-2 l/giorno |
Maggiori informazioni su Nutrizione per urologie patologiche
L’Angiomiolipoma è Ereditario?
Spesso i pazienti si preoccupano per i propri figli, ma l'angiomiolipoma sporadico non è ereditario: si verifica in modo casuale e non è correlato ai geni familiari. Diverso è il discorso nei casi di sclerosi tuberosa: qui il rischio di trasmissione ai figli è del 50% se uno dei genitori è malato, poiché si tratta di una malattia autosomica dominante. Controlla la tua storia familiare: se nei parenti ci sono convulsioni o macchie sulla pelle, vale la pena fare un test genetico (costo 150-200 euro): questo darà una risposta precisa.
